Jama Dermatology Author Interviews: Covering Research On The Skin, Its Diseases, And Their Treatment
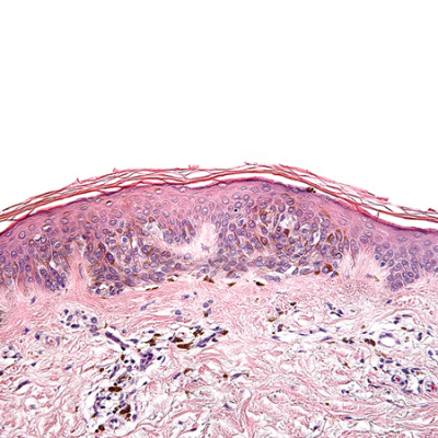
Risk of Melanoma in Moderately Dysplastic Nevi Excisionally Biopsied but With Positive Margins
- Autor: Vários
- Narrador: Vários
- Editor: Podcast
- Duración: 0:22:50
- Mas informaciones
Informações:
Sinopsis
Interview with Caroline C. Kim, MD, author of Risk of Subsequent Cutaneous Melanoma in Moderately Dysplastic Nevi Excisionally Biopsied but With Positive Histologic Margins